025-87183621
服务项目 服务项目

尼式染色

尼氏染色尼氏染色发明于1892年,是根据它的发明人德国科学家Franz Nissl命名的。细胞的DNA和RNA带负电荷,这是因为它们分别是脱氧核糖核苷酸和核糖核苷酸组成。以脱氧核糖核苷为例,它由碱基、脱氧核糖和磷酸构成。 其中的磷酸使DNA和RNA带负电荷、呈酸性。尼式染色正是利用了DNA、RNA酸性的特征,用碱性的染料(比如,甲酚紫


全国咨询电话:025-87183621

服务详情

尼氏染色

尼氏染色发明于1892年,是根据它的发明人德国科学家Franz Nissl命名的。细胞的DNA和RNA带负电荷,这是因为它们分别是脱氧核糖核苷酸和核糖核苷酸组成。以脱氧核糖核苷为例,它由碱基、脱氧核糖和磷酸构成。 其中的磷酸使DNA和RNA带负电荷、呈酸性。尼式染色正是利用了DNA、RNA酸性的特征,用碱性的染料(比如,甲酚紫、甲苯胺蓝)去绑定DNA和RNA,从而将细胞着色。尼氏染色的部位主要是DNA聚集的细胞核,内质网,特别是粗面内质网,其上的核糖体包含的核糖体RNA占细胞RNA总量的80%以上。粗面内质网也因为是尼氏染色显著的染色位点而被称为尼氏体。

技术原理

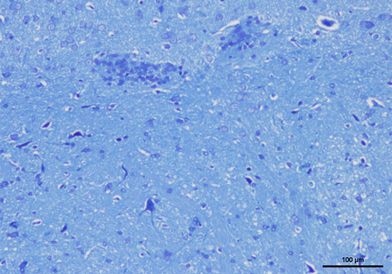
神经元细胞体包括一个具有皱褶核膜的大细胞核、稀疏的染色质和一个明显的核仁。在细胞体中细胞质是尼氏颗粒,即能够代表粗面内质网并在很多神经元中产生特异的斑点状嗜碱性表现的嗜碱性颗粒。尼氏颗粒可以用很多染色来显示如中性红、亚甲基蓝、甲苯胺蓝和甲基紫等。染色的变异、pH和分化的时间使一些染色既可以仅突出尼氏物质,也可以显示神经元的细胞核和神经胶质。各种神经细胞内都含有尼氏体,但其形状、数量、分布位置常常不同。尼氏体也存在于树突中,但不在于轴突和胞体的轴丘。尼氏体会因为生理状态的变化而变化,尼氏体是神经元内合成蛋白质合成的重要部位,当神经元受到刺激后,胞体内的尼氏体会明显减少。通常尼氏体能被碱性染料如硫堇、亚甲蓝、甲苯胺蓝和焦油紫等染料染成紫蓝色。

实验流程

实验结果展示:


 
注意事项:

1、切片若为石蜡切片,要在二甲苯中先脱蜡。

2、焦油紫或硫堇的染色时间也是根据染液配制时间的新旧、切片厚度和环境温度灵活掌握。

3、应该在显微镜下观察分色程度,使尼氏小体呈深色而背底基本无色为最佳。如分色不够,可以退回酒精再次分色。如分色过度,也可退回再染。

4、尼氏染色应充分脱水,否则容易褪色。

5、HE染色方法虽然也能观察到胞质中嗜碱性颗粒,但结构不甚清晰,神经元的轴突、树突难以辨认。在尼氏染色中尼氏体清晰可辨,而且很容易区分轴突和树突。尼氏染色中尼氏体受染后呈块状(形如虎斑)或颗粒状,核周围尼氏体颗粒较大,近边缘处较小而细长,如在生理情况下,尼氏体大而数量多,反映神经细胞合成蛋白质的功能较强,在神经元受损时,尼氏体的数量可减少甚至消失。


在线留言

Online message

姓名

电话

留言内容

联系我们

Contact us
南京东极生物科技有限公司
扫一扫关注
  • 地址:南京市六合区新港湾路166号协合智谷产业园16-3栋
  • 电话:139-1599-6230   025-87183621
  • 邮箱:sales@dj-cro.com
  • 网址:http://alashanmeng.dj-cro.com
Copyright © 2023 南京东极生物科技有限公司版权所有 All Rights Reserved.
  • 公司联系方式
    QQ
  • 公司微博
    微博
  • 网站首页
    首页
  • 公司联系电话
    电话
  • 返回
    返回顶部